Goodlife offers a range of regenerative techniques and stem cell procedures. After an examination with one of our providers the patient is given options and expected outcomes to best suit the nature of their pain and expectations.
Treatment of Joint Degeneration
Painful joints were often treated with non-steroidal anti-inflammatory drugs (NSAIDS), such as ibuprofen or naproxen. These drugs are commonly used to treat the symptoms of arthritis only. Overtime since the actual problem is not being addressed these patients require some type of surgery or even a total joint replacement. Total join replacements have long recovery periods and are almost never the patient's first choice of treatment.
Stem Cell Therapy
Don't operate, regenerate!
Stem cell regeneration therapy is a groundbreaking new therapy option for people with different types of joint, muscle, cartilage, ligament injuries and pain. Before you opt for surgery, consider a less invasive approach to help regenerate damaged tissue through stem cell therapy injections.
One process involves doing a mini liposuction in which doctors cultivate stem cells from your body's own fat cells and re-inject them into your body, but the quality and quantity of the stem cells may vary depending on your age.
Doctore are now offering a better alternative as opposed to undergoing liposuction to cultivate the stem cells:
Adult Stem Cells:
There are two ways to harvest stem cells from a patients body:
1. Bone Marrow
As we age our body still has plenty of stored stem
cells, but we are not able to mobilize them to effectively heal our injuries. The doctor uses a small
instrument to gather bone marrow from the pelvis or hip. The area is frozen and the patient will feel very
little pain during this procedure. The cells are injected back into the joint being treated on the same day.
The device is considered FDA cleared for us of gathering Bone Marrow (Regulation Number; 21 CFR 876.1075)
2. Adipose (Fat Derived) Stem Cells:
This is a procedure that our office does not offer.
The second Class or Regenerative Medicine is known as Donor Cells.
Amniotic Tissue Allograph
Amniotic injections have been used by doctors for years in trauma units to help regenerate skin for burn victims and tissue for patients suffering from large wounds and lacerations. The FDA has approved amniotic injections for these two purposes but considers amniotic injections for these two purposes but considers amniotic injections for joint pain to be experimental at this point. The use of amniotic injections for joint pain is considered an off label procedure.
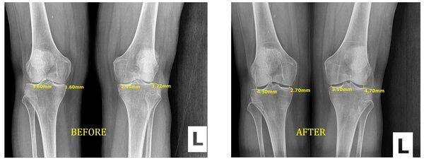
Since joint degeneration involves the breakdown of cartilage, injections involving growth factors, proteins, amino acids, a matrix of collagen (a collective tissue found in the body), hyaluronic acid, and stem cells, all of which aid in the repair of a joint. The combination of these cells create the scaffolding necessary to repair and build new cells and accelerate the body's healing potential to repair damaged tissue.
Amniotic injections have minimal pain and are completely non-invasive alternatives to surgery.
AmnioCyte Plus™ is an allograft from donated human tissue intended to provide the extracellular matrix needed for the infiltration, attachment and proliferation of cells required for the repair of damaged tissue. Amniotic tissue allografts have been shown to reduce scarring, fibrosis and adhesion's in surgical and wound sites.
AmnioCyte Plus™ is processed from donated human tissues from full term deliveries and is regulated as a human cell, tissue, or cellular or tissue-based product (HCT/P) under 21 CFR Part 1271 and Section 361 of the Public Health Service Act.
Cord Derived
Cord derived is a minimally manipulated human tissue allograft suspension derived from the Wharton's Jelly of the umbilical cord. Core Cyte™ is processed to preserve the biological and structural integrity of Wharton's jelly for homologous use. Core Cyte™ contain a variety of growth factors, cytokines, hyaluronic acid, mesenchymal stem cells and pericytes.
Core Cyte™ is processed from donated human tissue from full term deliveries and is regulated as a human cell, tissue or cellular of tissue-based product (HCT/P) under 21 CFR Part 1271 and Section 361 of the Public Health Service Act.
Other cord derived products contain up to 60 Million mesenchymal stem cells.

While some extreme cases may still require surgery, the majority of patients can return to a normal life shortly after the conclusion of the injections.
once a patient undergoes injections as part of the regenerative therapy program, the patient will begin to see the results. A typical patient is able to return to normal activity shortly after the therapy is completed. This means that patients do not have to deal with anesthesia. They also do not have to suffer through a long and intensive rehabilitation process. The Therapy is usually one injection, but sometime will required more. This is something a physician can better explain to the patient on a case basis before the patient consents to treatment.
This is a better alternative for people looking to avoid the dangers of surgery, such as infection, blood clots and organ failure due to invasive procedures.
Common complaints that patients report who are seeking Regenerative Therapy.
Treating injuries with stem cell therapy or amino can help you avoid dangerous and invasive surgery, but what injuries does regenerative therapy treat?
Knee Injuries (MCL, ACL, PCL or LCL sprains or tears
- Arthritis/Osteoarthritis
- Hip or Labral Tears
- Shoulder damage (rotator cuff, tendinitis in the shoulder)
- Chronic Neck Pain
- Writs, Elbow and Ankle damage and pain
- Achilles
- Foot Pain
- Planar
- Fasciitis
- Lower back pain
- Bone fractures that don't heal
- Pain derived from diabetes
Essentially, if you have damage to a ligament or lingering pain to a specifi joint, regenerative therapy can help. It is non-invasive procedure with groundbreaking advancements.
